Pôrodný traumatizmus novorodenca je skupina poškodení, ktoré vznikajú účinkom mechanických síl počas pôrodu. Tieto sily zahŕňajú tlak, kontrakcie, ťah a točenie. Ak na plod nadmerne pôsobia fyzikálne vplyvy, môže dôjsť k poraneniu mäkkých častí, kostí alebo vnútorných orgánov plodu. Trauma novorodenca môže nastať počas gravidity, pôrodu, v postnatálnom období alebo v súvislosti s iatrogénnym postihnutím. V dnešnej dobe sa vďaka zlepšujúcej sa starostlivosti pôrodníkov a dostupnosti vyšetrovacích techník znížil počet ťažkých pôrodných poranení, avšak ľahké poranenia sa nedajú úplne eliminovať.
Rizikové faktory pôrodného traumatizmu
Existuje niekoľko rizikových faktorov, ktoré zvyšujú pravdepodobnosť vzniku pôrodného traumatizmu u novorodenca:
- Nezrelý plod
- Pôrod koncom panvovým
- Operatívny/inštrumentálny pôrod
- Pôrod veľkého plodu
- Kefalopelvický nepomer (neprimeraný pomer veľkosti hlavy plodu a panvy matky)
- Prekotný pôrod (zrýchlený pôrod trvajúci menej ako dve hodiny)
- Dystokia ramienok (zakliesnenie ramienka za lonovou kosťou)
- Abnormálne polohy plodu
- Vrodené vývinové poruchy plodu
- Anomálie panvových kostí
- Nízka postava matky
Klinický obraz pôrodného traumatizmu
Pri pôrode sa najčastejšie stretávame s nasledujúcimi poraneniami:
Modriny a pomliaždenie kože a podkožia
Vznikajú pri komplikovanom pôrode novorodenca. Často sú prítomné petechie, čo sú drobné krvné výronky do kože veľkosti vpichu po špendlíku, najčastejšie na hlavičke. Petechie sa vstrebú do 3 dní.
Poranenie mäkkých častí hlavy a krku
- Caput succedaneum (pôrodný nádor): Je to nezávažná komplikácia, ktorá sa vyskytuje najčastejšie. Ide o difúzne presiaknutie mäkkých tkanív vedúcej časti hlavičky počas pôrodu. Opuch prekrýva lebečné švy a liečba nie je nutná, pretože opuch sa vstrebe do niekoľkých dní.
- Kefalhematóm: Je to krvácanie pod okosticu kostí lebečného krytu. Pri pohmate cítime tekutinu pod kožou v oblasti lebečnej kosti. Zväčšuje sa najčastejšie niekoľko hodín po pôrode. Liečba nie je nutná, vstrebe sa počas niekoľkých týždňov až mesiacov.
- Subkonjunktiválne krvácanie: Je to krvácanie pod spojovku oka, ktoré zvyčajne nevyžaduje liečbu.
- Torticollis (stuhnutá šija): Je to stočenie hlavičky do jednej strany na základe krvácania do svalu kývača hlavy (musculus sternocleidomastoideus), kedy dôjde k jeho stiahnutiu. Dieťa neudrží hlavičku v strednej polohe. Vyskytuje sa pri traumatickom pôrode alebo pri abnormálnej polohe v maternici. Pri torticollis je veľmi dôležitá rehabilitácia, ktorú vedie detský neurológ. Hrozí trvalé stiahnutie svalu a rôzne deformity lebky.

Poranenie hlavových a periférnych nervov
Účinkom mechanických síl môže dôjsť aj k poraneniu nervov, tieto poranenia sú však veľmi vzácne.
- Paréza nervus facialis (obrna tvárového nervu): Vyskytuje sa pri kliešťovom pôrode. Rozlišujeme centrálnu a periférnu parézu. Pri periférnej obrne dochádza k miestnemu tlaku na nerv alebo k jeho prerušeniu. Na postihnutej strane je viečko trvale otvorené, ústny kútik je poklesnutý a pri kriku je typický asymetrický plač. Krvácanie do mozgu spôsobuje centrálnu obrnu, pričom klinický obraz je rovnaký ako u periférnej obrne, len na opačnej strane, kde je krvácanie.
- Paréza brachiálneho plexu: Plexus brachialis je zväzok nervov, ktoré inervujú hornú končatinu. Rozlišujeme:
- Horny typ obrny (Duchennov-Erbov): Poranenie je v rozsahu krčných stavcov C5-C6. Príčinou obrny je krvácanie, opuch alebo prerušenie nervov, ktoré sa nachádzajú v plexus brachialis. Horná končatina je bez pohybu, natiahnutá a otočená dovnútra, pohyblivosť prstov je zachovaná, čiže sa dá vybaviť úchopový reflex. Obrna sa lieči rehabilitáciou.
- Dolný typ obrny (Klumpkeovej): Poranenie je v rozsahu krčných a hrudných stavcov C8-Th11. Táto obrna je vzácnejšia a vyskytuje sa väčšinou s obrnou horného typu. Postihnutá je celá končatina, vrátane prstov. Obrnu liečime rehabilitáciou až po 10-dňovom pokoji končatiny.

Poranenie kostí
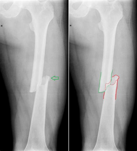
- Zlomenina kľúčnej kosti: Je to najčastejšia zlomenina spojená s pôrodným traumatizmom. Vzniká pri komplikovanom pôrode ramienok, pri vztýčených ručičkách pri anomálnych polohách alebo pri polohe koncom panvovým. Pohyb ručičky je obmedzený, niekedy je prítomný opuch a pri vyšetrení počuť krepitáciu (praskanie) nad kľúcnou kosťou. V terapii sa odporúča šetrenie končatiny a jej fixácia.
- Zlomeniny dlhých kostí (stehennej a ramennej): Sú prejavom hrubého násilia a dnes sa takmer nevyskytujú.

Poranenie vnútorných orgánov
- Ruptúra pečene a sleziny: Ide o natrhnutie týchto orgánov. Je to vždy život ohrozujúci stav, ktorý si vyžaduje chirurgické riešenie.
- Krvácanie do nadobličiek: Diagnostikuje sa pomocou ultrasonografie. Predispozičnými faktormi sú trauma, stres a hypoxia.
- Torzia semenníka: Je to pretočenie semenníka a prerušenie prívodu krvi do tohto orgánu. Súčasťou liečby je okamžitá operácia s cieľom odstrániť torziu a obnoviť prietok krvi. Ak bunky odumreli, odstraňuje sa celý semenník.
Poškodenie centrálneho nervového systému
- Intrakraniálne krvácanie: Je to vnútrolebkové krvácanie, ktoré vzniká mechanickým zaťažením počas pôrodu. Krvácanie môže vzniknúť v oblasti mozočku, epidurálne, subdurálne alebo subarachnoidálne. Mozog má na povrchu tri obaly - pleny, ktoré ho chránia: tvrdá plena (vonkajšia vrstva), pavúčnica (stredný obal) a cievnatka (najvnútornejšia vrstva). Epidurálne krvácanie vzniká medzi tvrdou blanou a lebkou. Subdurálne krvácanie je medzi tvrdou blanou a pavúčnicou. Subarachnoidálne krvácanie je medzi mozgom a pavúčnicou. Charakteristické prejavy krvácania sú vyklenutá fontanela, zástava dýchania, kŕče, ostrý plač a nedostatočná schopnosť piť. Často je prítomná aj anémia. Krvácanie centrálneho nervového systému je u donoseného novorodenca zriedkavé.
Intrakraniálne krvácanie
Liečba pôrodného traumatizmu
Liečba pôrodného traumatizmu závisí od typu a závažnosti poranenia. V mnohých prípadoch, ako sú modriny, petechie, caput succedaneum a subkonjunktiválne krvácanie, nie je potrebná žiadna špecifická liečba, pretože sa stav spontánne zlepší.
Pri vážnejších poraneniach, ako je torticollis, je kľúčová včasná rehabilitácia pod vedením detského neurológa. Pri zlomeninách kostí sa odporúča šetrenie končatiny a jej fixácia. V prípade poranení vnútorných orgánov, ako je ruptúra pečene alebo sleziny, je nevyhnutný chirurgický zákrok. Pri torzii semenníka je rovnako potrebná okamžitá operácia.
Poranenia nervov, ako paréza tvárového nervu alebo paréza brachiálneho plexu, sa liečia predovšetkým rehabilitáciou a v niektorých prípadoch aj chirurgicky. Pri intrakraniálnom krvácaní je dôležité sledovanie a liečba zameraná na stabilizáciu stavu novorodenca.
Je dôležité zdôrazniť, že mnohé z týchto poranení, ak sú správne diagnostikované a liečené, nezanechávajú trvalé následky. Pravidelné lekárske prehliadky a dodržiavanie odporúčaní lekára sú kľúčové pre zabezpečenie optimálneho vývoja dieťaťa.

tags: #porodny #traumatizmus #novorodenca