Endometrium je odborné označenie pre sliznicu maternice. Tá sa nachádza v najvnútornejšej časti steny maternice, ktorá je v priamom kontakte s dutinou maternice. Má šedoružovú farbu. Koncom októbra som bola na hysteroskopii a odstraňovaní polypu z tela maternice. Tiež mi robili kyretáž endocervixu. Vo výsledku histológie mi vyšlo zo vzorky endometria a polypu: „Endomerium so žliazkami v pokročilej proliferácii, čo zodpovedá 12-14 dňu menštruačného cyklu“. Záver: Najskôr dysfunkčné hyperproliferačné endometrium.“ V čase zákroku som mala 6.-7. deň menštruačného cyklu. Chcela by som sa opýtať, čo znamená „dysfunkčné hyperproliferačné endometrium“ a či ďalej nasleduje nejaká liečba. Môžete mi to, prosím Vás, bližšie vysvetliť, keďže na internete píšu „všeličo“.
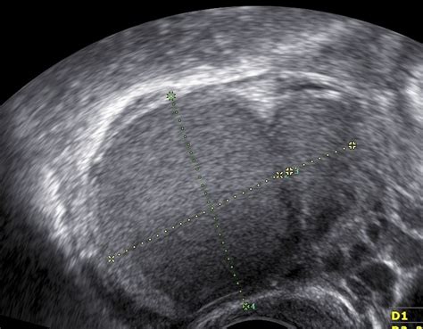
Zmeny endometria počas menštruačného cyklu
Endometrium počas menštruačného cyklu podlieha mnohým zmenám a má obrovskú proliferačnú aktivitu. Tieto zmeny sa týkajú jeho hrúbky aj histologickej stavby. Súhrnne sa tieto zmeny označujú ako menštruačný cyklus, ktorý je zakončený menštruačným krvácaním.
Menštruačný cyklus riadia ovariálne hormóny (estrogény a progesteróny). Menštruačný cyklus zahŕňa štyri po sebe idúce fázy:
- Menštruačná fáza (1. - 4. deň cyklu): Povrchová nekrotická časť sliznice sa odlučuje a odplavuje s menštruačným krvácaním. Začína menzes (menštruácia).
- Proliferačná fáza (5. - 15. deň cyklu): Súvisí s postupným dozrievaním vajíčka v jednom z vaječníkov a produkciou estrogénov, ktorý vytvárajú vaječníky, aby sa v maternici začala tvoriť nová mäkká sliznica. Krčok maternice produkuje viac hlienu. Sliznica maternice má na konci proliferačnej fázy hrúbku asi 3 - 4 mm. V celom rozsahu ju prestupujú žliazky, ktoré v reze vyzerajú ako úzke a priame trubičky.
- Sekrečná fáza (16. - 27. deň cyklu): Sliznica ďalej mohutnie a pri svojom vrchole dosahuje 5 - 7 mm. V tomto období sa prázdny folikul uzatvára a premieňa na žlté teliesko, ktoré vytvára estrogény a hlavne progesterón ovplyvňujúci rast maternicovej sliznice. Na konci sekrečnú fázy sú v tele vytvorené ideálne podmienky pre zahniezdenie oplodneného vajíčka.
- Ischemická fáza (28. deň cyklu): Ak vajíčko nebolo oplodnené, žlté teliesko zaniká, klesá hladina progesterónu, zužujú sa krvné cievy v sliznici maternice a začína jej postupné odumieranie. To nakoniec vyústi v ďalšie menštruačné krvácanie a začína nový cyklus.
V prvom až štvrtom týždni tehotenstva dochádza k uhniezdeniu oplodneného vajíčka v sliznici maternice. Tá napomáha vyživovať vyvíjajúci sa plod až do tej doby, než sa vytvorí placenta, ktorá túto funkciu preberá.

Dysfunkčné hyperproliferačné endometrium
Dysfunkčné hyperproliferačné endometrium znamená, že sliznica maternice (endometrium) rastie nadmerne (hyperplázia) a tento rast nie je správne riadený (dysfunkčné). Toto je často spôsobené hormonálnou nerovnováhou, najmä nadmerným pôsobením estrogénov bez dostatočnej protiváhy progesterónu.
Hyperplázia endometria je stav, kedy dochádza k prílišnému zmnoženiu buniek sliznice maternice. Táto diagnóza je pomerne častá a prejavuje sa abnormalitami maternicového krvácania - nepravidelné krvácanie, špinenie, silné alebo častejšie krvácanie. Môže byť ale úplne bez prejavov.
Ochorenie vzniká nadmerným pôsobením estrogénov. Najčastejšie sa vyskytuje u žien v období okolo menopauzy alebo i po menopauze. U mladších žien sa objavuje len výnimočne. Hyperplázia môže byť typická, atypická, simplexná či komplexná a podľa jej druhu sa odvíja aj liečba.
Niekedy môže znamenať aj predrakovinové zmeny, preto je dôležité, aby sa lekár odberom a histologickým vyšetrením uistil, o aký typ sa jedná.
Základom liečby je odstránenie nadmerného hormonálneho pôsobenia estrogénov, pokiaľ je to možné. Volí sa buď liečba medikamentami, alebo sa pristupuje k chirurgickému výkonu - odstránenie maternice kvôli riziku nádoru sliznice maternice.
Liečba a ďalšie kroky
Vzhľadom na to, že ste mali "dysfunkčné hyperproliferačné endometrium", lekár pravdepodobne odporučí liečbu zameranú na normalizáciu hormonálnej rovnováhy. Základom liečby adenomyózy sú hormonálne prípravky, ktoré spomaľujú rast endometrioidného tkaniva, znižujú krvácanie a zmierňujú bolesť.
Hormonálna terapia je základom liečby adenomyózy, pretože ochorenie priamo súvisí s pôsobením pohlavných hormónov. Regulácia hormonálneho pozadia umožňuje spomaliť rast endometrioidného tkaniva, znížiť zápal a zmierniť hlavné príznaky. Hormonálne lieky na liečbu adenomyózy zahŕňajú:
- Kombinované perorálne kontraceptíva (COC).
- Gestagény.
- Agonisty hormónu uvoľňujúceho gonadotropín.
- Antagonisty GnRH.
- Vnútromaternicový hormonálny systém s levonorgestrelom (Mirena IUD).
Nehormonálne lieky sa môžu používať na zmiernenie príznakov - tlmia bolesť, zápal a pomáhajú upraviť menštruačný cyklus, no neodstraňujú samotnú príčinu ochorenia. Nehormonálna komplexná liečba adenomyózy zahŕňa:
- Kyselina tranexámová.
- Nesteroidné protizápalové lieky (NSAID).
- Analgetiká.
- Antispazmodiká.
- Železité prípravky.
Na liečbu adenomyózy môže lekár predpísať imunomodulátory a antioxidanty, ktoré pomáhajú normalizovať imunitný systém, znižovať chronický zápal v myometriu a úroveň oxidačného stresu, ktorý sa podieľa na poškodení tkaniva.
Endometrióza - len jedna z príčin bolestí v podbrušku (podcast Gyncast)
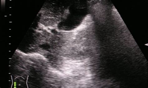
Endometrium vs. Myometrium
Endometrium je vnútorná výstelka maternice, zatiaľ čo myometrium je svalová vrstva maternice. V prípade adenomyózy však dochádza k prerastaniu endometriálneho tkaniva do myometria.
Adenomyóza je ochorenie, pri ktorom tkanivo vystielajúce dutinu maternice (endometrium) začne prerastať do hrúbky jej svalovej vrstvy (myometrium). V dôsledku toho sa bunkové štruktúry endometria ocitnú vnútri svalu, kde naďalej reagujú na hormonálne zmeny počas menštruačného cyklu. Rast tkaniva vedie k zahusteniu stien maternice, zápalovej reakcii, opuchu a časom k vzniku uzlín, fibrózy a zvýšenej citlivosti.
Štruktúra maternice:
- Endometrium: Vnútorná sliznica maternice.
- Myometrium: Hrúbka svalovej vrstvy maternice.

Riziká adenomyózy zahŕňajú chronickú bolesť, silnú a dlhotrvajúcu menštruáciu, ktorá vedie k anémii, a tiež zhoršenie reprodukčných funkcií, čo sťažuje počatie a zvyšuje riziko potratu. V závažných prípadoch vedú chronický zápal a štrukturálne zmeny k zníženej funkcii maternice a výraznému zhoršeniu kvality života.
Adenomyóza sa veľmi zriedkavo vyvíja do rakoviny - malignita je zriedkavá a podľa výskumov predstavuje menej ako 1 %. Hoci samotná adenomyóza sa nepovažuje za predrakovinové ochorenie, často ju sprevádza hyperplázia endometria alebo hormonálne poruchy, ktoré zvyšujú riziko vzniku rakoviny, ak sa neliečia.
Pri podozrení na adenomyózu je potrebná konzultácia s gynekológom.

tags: #endometrium #presne #ohranicene #od #myometria