Zápal pľúc, odborne nazývaný pneumónia, je akútne zápalové ochorenie pľúcneho tkaniva, ktoré sa častejšie vyskytuje u detí ako u dospelých. Tento článok poskytuje komplexný pohľad na zápal pľúc u detí, s dôrazom na jeho príčiny, príznaky, diagnostiku, liečbu a prevenciu, ako aj na vplyv dojčenia na toto ochorenie.
Čo je zápal pľúc?
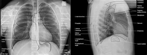
Zápal pľúc (pneumónia) je zápal pľúcneho tkaniva, ktorý môže postihovať priedušničky, pľúcne mechúriky a priestor medzi nimi. Pľúca sú párový orgán dýchacej sústavy, ktorý sa delí na pravé a ľavé pľúca. Pravé pľúca sú tvorené tromi lalokmi a ľavé dvomi lalokmi. Povrch pľúc je prekrytý blanou, ktorú nazývame popľúcnica. Hlavnou funkciou pľúc je výmena dýchacích plynov medzi vonkajším a vnútorným prostredím. Pľúca sú orgán uložený v hrudnom koši, ktorého hlavnou funkciou je výmena dýchacích plynov medzi vonkajším a vnútorným prostredím. Predstavujú jeden z nenahraditeľných orgánov ľudského tela, bez ktorého by sme nedokázali prežiť ani jeden deň. Zápal pľúc sa častejšie vyskytuje u detí ako u dospelých, po 50. roku života jeho výskyt opätovne narastá.
Napriek tomu, ochorenia dýchacej sústavy patria k tým najčastejším, zápal pľúc nevynímajúc - ide o 3. najčastejšiu príčinu úmrtnosti na svete (podľa WHO - Svetová zdravotnícka organizácia). Ako je zrejmé z názvu, zápal pľúc (odborne pneumónia) je akútne zápalové ochorenie pľúcneho tkaniva, ktoré môže postihovať priedušničky, pľúcne mechúriky aj priestor medzi nimi (interstícium), ktorý je vyplnený tekutinou.

Príčiny zápalu pľúc
Zápal pľúc môže byť spôsobený infekčnými alebo neinfekčnými faktormi.
Infekčné príčiny:
- Baktérie (napr. Streptococcus pneumoniae, Mycoplasma pneumoniae, Chlamydia pneumoniae)
- Vírusy (napr. vírus chrípky, cytomegalovírusy, adenovírusy, RSV - respiračný syncyciálny vírus)
- Plesne, huby a kvasinky
Neinfekčné príčiny:
- Vdychovanie škodlivých a dráždivých plynov (napr. oxid uhoľnatý)
- Vdychovanie agresívnych chemikálií (napr. čistiace prostriedky)
- Pobyt v prašnom alebo znečistenom prostredí
Pôvod neinfekčného zápalu pľúc môže byť: vdychovanie škodlivých a dráždivých plynov (napr. oxid uhoľnatý) alebo agresívnych chemikálií (napr. čistiace prostriedky), pobyt v prašnom prostredí alebo inak znečistenom prostredí.
Príznaky zápalu pľúc
Príznaky zápalu pľúc sa môžu líšiť v závislosti od veku dieťaťa, príčiny zápalu a typu zápalu (typický vs. atypický).
Typický zápal pľúc
Typický zápal pľúc sa prejavuje najmä horúčkou (teplota tela nad 38 °C), vlhkým hnisavým kašľom, bolesťou na hrudníku a sipotom (prípadne pískaním).
Atypický zápal pľúc
Atypický zápal pľúc nemá príznaky typické pre zápal pľúc. Ide o veľmi nákazlivé ochorenie, ktoré sa prenáša kvapôčkovou infekciou, najmä v kolektíve detí v materských a základných školách. Prejavuje sa najmä bolesťou v krku, zvýšenou sekréciou z nosa, zväčšenými krčnými mandľami, únavou a niekoľko týždňov až mesiacov trvajúcim kašľom. Aj vďaka svojim atypickým príznakom býva často potvrdený a diagnostikovaný až po RTG vyšetrení. Najčastejšími pôvodcami sú Mycoplasma pneumoniae a RSV - respiračný syncytiálny vírus.
Rozdiel v príznakoch je aj medzi typickou a atypickou formou zápalu pľúc.
Diagnostika zápalu pľúc
Medzi diagnostické metódy patria:
- Fyzikálne vyšetrenie
- RTG vyšetrenie hrudníka
- CRP test (na rozlíšenie bakteriálnej a vírusovej infekcie)
- Kultivácia mikroorganizmov z výteru (na stanovenie citlivosti na antibiotiká)
- Pulzná oxymetria (na kontrolu saturácie hemoglobínu kyslíkom)

Liečba zápalu pľúc
Liečba zápalu pľúc závisí od príčiny ochorenia.
Bakteriálny zápal pľúc
Antibiotiká (výber antibiotík závisí od citlivosti mikroorganizmu). Pred nastavením antibiotickej liečby je vždy potrebné vykonať CRP test, ktorý nám dokáže vyhodnotiť, či ide o bakteriálnu alebo vírusovú infekciu. Okrem toho by súčasťou rutinného vyšetrenia mala byť aj kultivácia mikroorganizmov z výteru a následné stanovenie citlivosti na antibiotiká. Vďaka takémuto vyšetreniu dokážeme antibiotickú liečbu zacieliť na konkrétny mikroorganizmus, čím znižujeme riziko návratu infekcie, zvyšujeme úspešnosť liečby a znižujeme pravdepodenosť výskytu nežiaducich účinkov vyplývajúcich z mechanizmu účinku širokospektrálnych antibiotík.
Vírusový zápal pľúc
Antivirotiká - liečivá nasmerované proti vírusom.
Plesňový zápal pľúc
Antimykotiká - liečivá pôsobiace proti plesniam, hubám a kvasinkám.
Symptomatická liečba:
- Antipyretiká (na zníženie horúčky)
- Mukolytiká (na rozpúšťanie hlienu) - Mukolytiká sú liečivá, ktoré sa používajú na terapiu vlhkého kašľa - ich úlohou je rozpúšťať hlien a podporovať činnosť riasinkového epitelu dýchacej sústavy, čím dochádza k odstraňovaniu hlienu a vykašliavaniu.
- Antitusiká (na tlmenie kašľa)
V prípade stredne ťažkých a ťažkých zápalov pľúc je potrebná hospitalizácia. V prípade stredne ťažkých a ťažkých zápaloch pľúc je potrebná hospitalizácia, počas ktorej sú antibiotiká podávané vnútrožilovo, pričom zvyčajne ide o kombináciu viacerých antibiotík. Kombinácia antibiotík, resp. použitie rezervných antibiotík (antibiotiká používané len v konkrétnych diagnózach) je časté aj pri nemocničných nákazách.
Liečba zápalu pľúc zahŕňa aj podávanie antipyretík (liečivá na zníženie horúčky).
Dĺžka liečby závisí od príčiny a závažnosti zápalu pľúc. Dĺžka liečby je zvyčajne 14 - 21 dní, v niektorých prípadoch to môže byť aj niekoľko mesiacov. Aj napriek tomu, že liečba sa môže javiť ako kratšia (2 - 3 týždne), pokojový režim je potrebné dodržiavať aspoň mesiac. Pod pokojovým režimom si môžeme predstaviť vyhýbanie sa nadmernej fyzickej aktivite, dopriať si oddych, dostatočný spánok, vyváženú stravu a dostatočný pitný režim. Odporúčané je kontrolovať si saturáciu hemoglobínu kyslíkom pomocou pulzného oxymetra - do prístroja sa vloží prst a do niekoľkých sekúnd sa zobrazí výsledok. Saturácia je v norme, pokiaľ je hodnota na displeji medzi 93 a 99 %. Pre uvoľnenie bolesti a tlaku na hrudníku môžete vyskúšať Priessnitzove zábaly hrudníka. Priamo na hrudník umiestnite mokrú a chladnú vrstvu, ktorú prikryjete suchou (prípadne medzi ne umiestnite igelit). Vrstvy musia priliehať tesne, bez vzduchových bublín. V prvej, hypotermickej fáze dochádza k schladeniu miesta a zúženiu ciev (niekoľko minút). V ďalšej, izotermickej fáze, sa teplota stabilizuje, cievy sa postupne rozširujú (približne 40 minút). V poslednej hypertermickej fáze sa teplota zvyšuje, pokožka sa prehrieva a dochádza k sillnejšej lokálnej dilatácii (približne 60 minút).
Ako sa lieči zápal pľúc?
Prevencia zápalu pľúc
Prevencia zápalu pľúc zahŕňa:
- Dodržiavanie životosprávy
- Užívanie výživových doplnkov na podporu imunitného systému
- Dodržiavanie hygienických návykov
- Vyhýbanie sa priestorom s veľkou fluktuáciou ľudí
- Vyhýbanie sa chorým ľuďom
- Nosenie rúška/respirátora v sezóne najväčšieho výskytu respiračných ochorení
- Očkovanie proti pneumokokom a chrípke (odporúčané pre rizikové skupiny)
Proti zápalu pľúc je možné sa aj efektívne chrániť - okrem dodržiavania životosprávy a užívania výživových doplnkov na podporu imunitného systému, je potrebné aj striktné dodržiavanie hygienických návykov, vyhýbanie sa priestorom s veľkou fluktuáciou ľudí, vyhýbanie sa chorým ľuďom, nosenie rúška/respirátora v sezóne najväčšieho výskytu respiračných ochorení (jeseň a zima). Kontrolovať stav ovzdušia si môžete pomocou webovej stránky Slovenského hydrometeorologického ústavu alebo pomocou rôznych aplikácií na vašich smartfónoch.
Očkovanie
Pneumokoky spôsobujú okrem zápalu pľúc aj zápal stredného ucha, sepsu (otrava krvi), meningitídu a ďalšie vážne ochorenia. Očkovanie je odporúčané starším ľuďom (nad 65 rokov), ľuďom umiestnených v domovoch dôchodcov alebo domovoch sociálnych služieb, osobám s chronickými ochoreniami, po transplantácii alebo so zníženou imunitou, prípadne zdravotníckym pracovníkom. Očkovacia schéma je jednodávková, pričom sa očkuje do svalu do ramena. Preočkovanie je postačujúce raz za 5 rokov. Proti chrípke sa odporúča očkovať každému, kto prichádza do kontaktu s veľkým množstvom ľudí a, samozrejme, ľuďom s chronickými ochoreniami, zníženou imunitou či starším ľuďom a deťom. Proti chrípke je potrebné preočkovať sa každý rok, pričom ide o jednodávkovú vakcínu, ktorá sa tiež aplikuje do svalu do ramena, prípadne do nosa (tá je dostupná pre deti a mládež od 2 do 18 rokov).
Kojenie a zápal pľúc
Dojčenie má ochranný efekt voči infekčným ochoreniam, prevažne počas prvých šiestich mesiacov života. Bábätká, ktoré matka kojila najmenej šesť mesiacov, majú menšiu pravdepodobnosť, že sa u nich rozvinie infekcia dýchacieho alebo tráviaceho ústrojenstva. Materské mlieko obsahuje komponenty podporujúce a zvyšujúce imunitu dieťaťa vrátane protilátok, bielych krviniek, laktoferínu, antioxidantov a vitamínov.
Podľa štúdií, dojčenie redukuje závažnosť RSV bronchiolitídy, dĺžku hospitalizácie a nutnosť podávania dodatočného kyslíka u novorodeniatok.
Dojčenie počas choroby matky
V situácii, keď matka užíva lieky kvôli zápalu pľúc, je potrebné zvážiť bezpečnosť liekov pre dojčené dieťa. V mnohých prípadoch je možné pokračovať v dojčení aj počas užívania antibiotík, ale je dôležité poradiť sa s lekárom alebo laktačnou poradkyňou. Milá Katka, oba tieto lieky (KLABAX a CEDAX) môžete užívať a zároveň dojčiť rovnako ako doposiaľ, bez akýchkoľvek obmedzení, bez obáv o bábätko. V situácii, keď máte zápal pľúc, by prerušenie dojčenia na 10 dní (čo navyše znamená, že sa dcérka k dojčeniu nemusí vrátiť), znamenalo ohrozenie jej zdravia, pretože nebude dostávať protilátky a ochranu v materskom mlieku. Milá Jana, v situácii, v ktorej ste sa ocitli, sa bohužiaľ štandardne matky nesprávne dozvedajú, že si musia vybrať medzi svojim zdravím a dojčením. Pri všetkých týchto liekoch (Ciplox 500, Azibiot 500, Codein, Atrovent, Paralen) je však bezpečnejšie pre vaše bábätko aj pre vás, aby ste pokračovali v dojčení, o to zvlášť, že máte infekčnú chorobu a práve v tomto čase má vaše mlieko množstvo protilátok, ktoré môžu pomôcť, aby vaša dcérka neochorela alebo aby zvládala chorobu lepšie a jednoduchšie.
Liek Medofloxine 200mg nie je dôvodom na odstavenie, môžete pokračovať v dojčení bez obmedzení a zároveň užívať tento liek, nie je kontraindikáciou dojčenia.
Počas chorôb je dojčenie odporučené, aj počas horúčky alebo upchatého nosa. Chráni dieťatko pred chorobou. Existujú však choroby, ktoré dojčeniu bránia. trpíte rôznymi vírusovými a bakteriálnymi infekciami dýchacích ciest (napr. zápal pľúc). Postupy liečby sú veľmi dôležité. Niektoré lieky môžu byť nebezpečné pre dieťa a pokiaľ je to možní, mali by byť nahradené bezpečnými alternatívami. Používajte prírodné lieky: inhalácie harmančekového, šalviového, mätového čaju, cibuľový sirup, zázvor, citrón (pokiaľ nie je Vaše dieťa alergické na citrusy). Čo sa týka liekov proti bolesti, môžete kľudne užívať lieky na báze paracetamolu alebo ibobrufenu. Počas dojčenia nesmiete užívať aspirín, metamizól, lieky s obsahom pseudoferinu. Sú takisto zakázané lieky proti rakovine a rádioaktívne lieky.
Nie je možné predpovedať, ako sa bude vaša dcérka správať pri snahe vrátiť sa k dojčeniu. Odporúčame vám pri pokuse znova ju dojčiť najskôr byť v kontakte koža na kožu a nechať dcérku nech sa prisaje sama, prípadne jej ponúknuť prsník v čase, kedy sa rozospatá precitá zo spánku alebo naopak zaspáva.
Časté otázky a obavy
Môže sa dieťa nakaziť zápalom pľúc od starých rodičov?
Zápal pľúc môže byť nákazlivý, najmä ak je spôsobený baktériami alebo vírusmi. Je to individuálne a závisí od citlivosti dieťaťa. Treba ho izolovať od chorého člena rodiny.
Ako dlho trvá liečba zápalu pľúc?
Dĺžka liečby závisí od príčiny a závažnosti zápalu pľúc.

tags: #kojenie #poleziacky #zapal #pluc