Mola hydatidosa, známa aj ako hroznovitá mola alebo molárne tehotenstvo, predstavuje zriedkavú komplikáciu tehotenstva, pri ktorej dochádza k abnormálnemu vývoju tkaniva placenty. Namiesto zdravého vývoja embrya a placenty sa v maternici vytvára tkanivo, ktoré pripomína strapec hrozna. Tento stav vedie k neúspešnému tehotenstvu a vyžaduje si lekársky zásah.
Mola hydatidosa je gestačná trofoblastická choroba, patologické tehotenstvo, pri ktorom sa v maternici nachádza oplodnené vajíčko, ktoré nie je životaschopné. Podporné tkanivo okolo oplodneného vajíčka sa nevyvíja správne. Za normálnych okolností sa z tohto tkaniva vyvinie placenta, ale pri mola hydatidosa sa namiesto toho vytvorí zhluk buniek, ktorý pripomína strapec hrozna. V maternici, na miestach, kde sa má vyvinúť placenta, vznikne tkanivo pripomínajúce strapec hrozna. V maternici tak rastie hmota opuchnutých choriových klkov. Tieto klky rastú v trsoch, ktoré sa podobajú na strapce hrozna. Takáto gravidita sa označuje ako molárne tehotenstvo. Tehotenstvo nie je životaschopné a končí sa spontánnym potratom.
Typy Mola Hydatidosa
Rozlišujeme dva hlavné typy molárneho tehotenstva:
- Kompletná mola hydatidosa: V tomto prípade sa nevyvíja plod a placenta je abnormálna. V maternici sa nenachádza plod, pretože sa v maternici ani nenachádza. Kompletná mola sa vyskytuje v 1 z 3000 - 4000 tehotných. Vzniká oplodnením prázdneho vajíčka, jednou alebo dvomi spermiami, ktoré sa rozdelia a obsahuje iba otcovské chromozómy 46 XX, ďalej sa nevyvíja.
- Parciálna mola hydatidosa: Plod sa začína vyvíjať, ale placenta je abnormálna. Placenta sa vyvíja abnormálne, ale vyvíja sa aj plod. Ak tehotná žena porodí, dieťa hneď po pôrode umiera. Čiastočná mola vzniká oplodnením vajíčka dvomi spermiami alebo jednou spermiou, ktorá sa ďalej rozdelí na dve, oplodnené vajíčko tak obsahuje 69 chromozómov. Embryo nie je schopné života zanikne do 10. týždňa tehotenstva, prejavuje sa krvácaním alebo samovoľným potratom. V tomto prípade sa nezvrháva do malignity.
Príčiny Vzniku
Presná príčina vzniku molárneho tehotenstva nie je úplne známa. Molárne tehotenstvo vzniká pri chybnom oplodnení. Predpokladá sa, že svoj podiel na vzniku má genetická výbava ženy. Z genetického hľadiska, molárne tehotenstvo vzniká pri chybnom oplodnení vajíčka. V jednom prípade ide o oplodnenie zdravého vajíčka dvomi spermiami alebo jednou, ktorá sa v jeho vnútri rozdelí na dve. Tak vzniká čiastočná (parciálna) mola. Ak sa podobne oplodní vajíčko, ktoré v sebe nemá genetickú informáciu, ide o úplnú (kompletnú) molu. Nevyrovnanosť medzi otcovským a materským genetickým materiálom vedie k poruche vývoja embrya a nekontrolovateľnému rastu zárodočných obalov.
Za najčastejšiu príčinu vzniku kompletnej moly považujú odborníci oplodnenie prázdneho vajíčka bez chromozómov dvoma spermiami. Vznik čiastočnej, teda parciálnej moly spôsobuje oplodnenie normálneho vajíčka s 23 chromozómami taktiež dvoma spermiami. Ochorenie sa môže aj opakovať, napríklad na zvyškoch zle odstráneného tkaniva po predchádzajúcom tehotenstve alebo potrate.
Príznaky
Mola hydatidosa sa typicky prejavuje v druhom trimestri tehotenstva krvácaním, bolesťami v panvovej oblasti a nadmerným vracaním. V hraničných prípadoch môže byť jedinou možnou liečbou chirurgické odstránenie maternice a vaječníkov.
Príznaky molárneho tehotenstva sa môžu na začiatku javiť ako normálne tehotenstvo s bežnými príznakmi, ako je vynechanie menštruácie či nevoľnosť. Avšak po niekoľkých týždňoch sa objavia varovné príznaky:
- Vaginálne špinenie alebo krvácanie. Krvácanie z pošvy (niekedy tmavé a s kúskami tkaniva). Krvácanie vzniká pretože z patologicky vyvinutej placenty sa odlupujú jej časti, ktoré opúšťajú maternicu v podobe krvácania. V krvi, ktorá vyteká z hrdla maternice, môžeme nájsť drobné cystičky - moly. Vaginálne krvácanie počas prvých troch mesiacov.
- Nevoľnosť a zvracanie. Úporné masívne zvracanie: Tehotné ženy s mola hydatidosa majú niekoľkonásobne vyššie hodnoty hormónu choriogonadotropínu, ktorý je zodpovedný za zvracanie. Zvýšená hladina hCG s nevoľnosťou a vracaním: Hormón hCG je zodpovedný za vývoj placenty, nevoľnosť a zvracanie.
- Nadmerný rast maternice. Abnormálny rast maternice: Maternica môže mať nadmerné alebo na druhej strane veľmi malé rozmery. Gynekológ zistí nápadne rýchly rast maternice, ktorá veľkosťou nezodpovedá štádiu tehotenstva. To je hlavným príznakom moly. Rýchle zväčšovanie maternice oproti bežnému štádiu tehotenstva.
- Bolesti brucha. Zvýšená bolesť a tlak v panve: V molárnom tehotenstve je rast tkaniva rýchlejší ako typické tehotenstvo, najmä počas druhého trimestra.
- Nehmatný plod, necítiť pohyby plodu. Chýbanie srdcových oziev: Absencia pohybov plodu alebo tlkotu srdca v neskoršom štádiu. Nehmatný plod, necítiť pohyby plodu.
- Prerastanie tkaniva cez stenu maternice môže spôsobiť vnútorné krvácanie. V 15% prerastá mola hydatidosa stenu maternice a spôsobuje krvácanie.
- Niektoré typy mola hydatidosa môžu produkovať hormóny podobné hormónom štítnej žľazy, čo sa prejaví príznakmi hypertyreózy. Príznaky zvýšenej činnosti štítnej žľazy (hypertyreózy): strata hmotnosti, nechutenstvo, netolerovanie tepla, hnačky, zvýšený srdcový tep, nepokoj, nervozita, tras končatín.
- Preeklampsia pred 20 týždňom tehotenstva ( vo fyziologických tehotenstvách môže vznikať po 20 týždni tehotenstva, prejavuje sa vysokým krvným tlakom, opuchmi, prítomnosťou bielkovín v moči). Príznaky preeklampsie: vysoký krvný tlak, opuch nôh. Rozvoj preeklampsie - stav, ktorý sa vyskytuje po 20 týždňoch tehotenstva.
- Pri metastázach- najčastejšie pľúca, mozog - príznaky podľa lokalizácie.

Diagnostika
Podozrenie na molárne tehotenstvo sa objavuje pri neobvyklom krvácaní počas tehotenstva. Diagnostika molárneho tehotenstva zahŕňa:
- Gynekologické vyšetrenie: lekár zistí nadmerný rast maternice.
- Vysoký krvný tlak.
- Zvýšená hladina hormónu HCG v krvi.
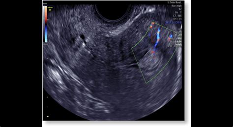
- Ultrazvukové vyšetrenie: Pomocou tohto vyšetrenia sa odhalí abnormálny typ maternice, a chýbanie plodu. Ultrazvukový obraz je známy odrazmi mnohopočetných priehradok moly pod názvom „snežná búrka“, ktoré na monitore naozaj vyzerajú ako husté sneženie. Typické pre toto ochorenie je tiež zobrazenie mnohopočetných luteinných cýst na vaječníkoch. V ultrazvukovom vyšetrení nenájdeme plod, ale obraz tzv. sneženia.
- Krvné testy na prítomnosť tehotenského hormónu: Veľmi vysoké hodnoty tehotenského hormónu hCG.
Rizikové faktory
Medzi rizikové faktory vzniku mola hydatidosa patria:
- Predchádzajúci potrat.
- Fyziologické tehotenstvo.
- Mimomaternicové tehotenstvo.
- Vek nad 40 rokov. Vek: U žien mladších ako 20 rokov alebo starších ako 35 rokov je pravdepodobnejšie, že zažije molárne tehotenstvo. Frekvencia výskytu stúpa aj s vekom pacientky, zvlášť po štyridsiatom roku života postihuje jedno až dve z tisíc tehotenstiev.
- História: Ak žena už predtým zažila molárne tehotenstvo, šanca, že zažije ďalšie molárne tehotenstvo, je vysoká.
Je známe, že najviac trofoblastických ochorení sa vyskytuje v ázijských krajinách, čo pravdepodobne súvisí s väčším počtom pôrodov.
Liečba
Liečba tejto choroby je nevyhnutná, aby sa zabránilo ďalším komplikáciám. Jediným možným terapeutickým výkonom je odstránenie placenty so zvyškami plodu. Ide o chirurgické ukončenie molárneho tehotenstva, najčastejšie kyretážou.
- Kyretáž: Lekári sa musia uistiť, že odstránia úplne všetko, pretože zabudnuté zvyšky mola hydatidosa sa môžu premeniť po určitej dobe na nádorové tkanivo. Kyretáž je invazívny zákrok, ktorého cieľom je čiastočné odstránenie sliznice maternice. Ak ostanú zvyšky placenty v maternici robí sa kyretáž, kedy sa pomocou vákua odsajú zvyšky z maternice. Základným postupom je chirurgické ukončenie tehotenstva, najčastejšie kyretážou. Ide o invazívny zákrok, pri ktorom sa čiastočne odstraňuje sliznica maternice. Zárodočné tkanivo sa tak mení na cystický útvar pripomínajúci strapec hrozna.
- Hysterektómia: Ak je žena staršia a nechce mať deti, tak sa robí hysterektómia, odstránenie celej maternice. V závažných prípadoch alebo ak žena neplánuje ďalšie tehotenstvo, je alternatívou úplné odstránenie maternice (hysterektómia). V hraničných prípadoch môže byť jedinou možnou liečbou chirurgické odstránenie maternice a vaječníkov.
- Chemoterapia: Ak sa mola hydatidosa zvrhne na nádor, tak pacientka musí podstúpiť chemoterapiu. Ak sa vyvinie choriokarcinóm - rádioterapia, chemoterapia v závislosti od štádia šírenia nádoru, príp.
Následne sa sledujú zmeny hCG, jeho zníženie značí úspešnosť zákroku.
Sledovanie po Liečbe
Vzhľadom na riziko vzniku rakoviny je pacientka pravidelne sledovaná gynekológom, gynekológ sleduje hladinu hormónu beta HCG v krvi. Ambulantný gynekológ monitoruje hladiny tehotenského hormónu HCG raz týždenne, do negatívnych hodnôt, potom jedenkrát mesačne šesť mesiacov. Ambulantný gynekológ monitoruje hladiny tehotenského hormónu HCG raz týždenne, do negatívnych hodnôt, potom jedenkrát mesačne šesť mesiacov.
Ženám po takomto tehotenstve sa odporúča počkať minimálne jeden rok, kým sa pokúsia znovu otehotnieť alebo pokiaľ im hladina betaHCG neklesne na normálne hodnoty. Pre ďalšiu tehotnosť sa odporúča minimálne rok po negatívnych hodnotách HCG. Lekár môže odporučiť počkať šesť mesiacov až rok, kým sa pokúsite otehotnieť. Keďže počas normálneho tehotenstva sa hormóny hCG v tehotenstve zvyšujú, poskytovateľ zdravotnej starostlivosti môže pacientke odporučiť, aby pred počatím počkala 6 až 12 mesiacov.
Komplikácie
U niektorých žien sa môže mola hydatidosa premeniť na nádor, vtedy hovoríme o choriokarcinóme. Choriokarcinóm, alebo epitelový nádor z buniek trofoblastu, je malígny nádor prejavujúci sa nepravidelným krvácaním z maternice, zvýšenou hladinou hCG a pre diagnostiku je potrebná znalosť tehotenstva v minulosti. Tento nádor sa šíri krvou do pošvy, pľúc, mozgu a pečene.
Mola proliferans je najagresívnejší variant moly, pri ktorom trofoblast získava malígny potenciál s tendenciou invazívne rásť. Invazívna mola - zárodočné tkanivo agresívne prerastá do okolitého tkaniva, čo môže viesť k masívnemu krvácaniu. Invazívna mola je zriedkavá, malígna forma moly a vyskytuje sa v 1 na 20 000 až 50000 tehotností. Môže vzniknúť po akejkoľvek gravidite. Prejavuje sa v skorom štádiu tehotnosti, ale aj viac ako 15 rokov po otehotnení alebo až po menopauze. Prejavuje sa krvácaním, rastom maternice, diagnostikuje sa ultrazvukom.
Po odstránení molárneho tehotenstva existuje šanca, že molárne tkanivá zostanú. V takýchto prípadoch tkanivá naďalej rastú. Je známa ako perzistentná gestačná trofoblastická neoplázia (GTN). Typicky sa vyskytuje u 15-20% úplných molárnych tehotenstiev a až 5% čiastočných molárnych tehotenstiev. Žena, ktorá zažíva pretrvávajúce GTN, je liečiteľná s chemoterapie alebo hysterektómii.

Prognóza
Viac ako 80% prípadov sú benígne, teda nie sú nádorové. Liečba je zvyčajne úspešná. Čiastočná mola má z hľadiska prognózy najpriaznivejší priebeh. Choriokarcinóm - vysoko agresívny zhubný nádor zárodočných tkanív, ktorý výborne reaguje na chemoterapiu.
Únik moču počas tehotenstva a po pôrode | Čo vy na to, pán doktor?
Emocionálna Podpora
Pre mnoho žien a ich partnerov môže byť diagnostikovanie molárneho tehotenstva emocionálne náročné. Je úplne normálne cítiť smútok, frustráciu alebo dokonca zlosť. V tomto období je veľmi dôležité cítiť podporu partnera, rodiny, priateľov, alebo odborníkov. Mnoho žien, ktoré prekonali molárne tehotenstvo, sa neskôr dočká úspešného a zdravého tehotenstva. Hoci sa vaša cesta k rodičovstvu môže líšiť od ostatných, je dôležité mať nádej.
tags: #mola #hydatidosa #dalsie #tehotenstvo