Mimodaterinné tehotenstvo predstavuje najčastejšiu náhlu brušnú príhodu v gynekológii. Najčastejšie dochádza k ektopickej nidácii blastocysty vo vajcovode, čo predstavuje 95 až 97 % prípadov.
Heterotopická gravidita je definovaná ako súčasný výskyt intrauterinnej a ektopickej gravidity. Najčastejšie uvádzaná incidencia heterotopickej gravidity sa pohybuje v rozmedzí 1/25 000 až 1/30 000 intrauterinných tehotenstiev. S rozvojom asistovanej reprodukcie však riziko heterotopickej gravidity dramaticky vzrástlo, hlavne v súvislosti s in vitro fertilizáciou (IVF), embryotransferom (ET) viacerých embryí a intrauterinnou insemináciou (IUI).
Výskyt heterotopickej gravidity v rámci asistovanej reprodukcie kolíše medzi 0,75 % a 2,9 %. Pri liečbe klomiféncitrátom sa incidencia heterotopickej gravidity zvyšuje na 1/900 tehotenstiev. V prípade kombinácie intrauterinnej a extrauterinnej gravidity je včasná diagnostika mimodaterinného tehotenstva pri absencii klinických príznakov takmer nemožná. Väčšina kazuistík referuje prípady heterotopickej gravidity diagnostikované až v štádiu ruptúry tubárnej gravidity, hemoperitonea a hemoragického šoku.
Cieľom tejto práce je zhodnotiť výskyt mimodaterinných a heterotopických tehotenstiev vzniknutých po in vitro fertilizácii a embryotransferu a rozbor manažmentu ich terapie v Centru asistovanej reprodukcie CAR 01 LF MU a FN Brno v dvadsaťročnom klinickom materiáli. V sledovanom období bol výskyt ektopickej gravidity 84 z 1487 klinických gravidít (5,65 %). Heterotopická gravidita sa vyskytla v siedmich prípadoch (0,47 %). Ako v prípade mimodaterinného, tak v prípade heterotopického tehotenstva je výskyt častejší, než v bežnej populácii.

Zo siedmich heterotopických tehotenstiev 2 skončili pôrodom intrauterinne uloženého plodu. Zo sledovaných 84 mimodaterinných tehotenstiev bola u 68 (88,10 %) postihnutá tuba odstránená laparoskopickou salpingektómiou, iba u 9 (11,90 %) bol zvolený konzervatívny postup so zachovaním vajcovodu.
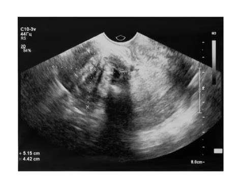
V prípade kombinácie intrauterinnej a extrauterinnej gravidity je včasná diagnostika mimodaterinného tehotenstva pri absencii klinických príznakov takmer nemožná. V takom prípade je indikovaná urgentná operačná intervencia a liečba hemoragického šoku. Sanácia ektopickej tubárnej gravidity pri perzistujúcom vitálnom intrauterinnom tehotenstve sa dá riešiť aj konzervatívne. V úvahu prichádza aplikácia prostaglandínov alebo hyperosmolárnej glukózy do vajcovodu s molou, a to buď laparoskopicky alebo transvaginálne pod ultrazvukovou kontrolou.
Cieľom práce je prezentovať diagnosticko-terapeutický algoritmus heterotopickej gravidity na dvoch kazuistických prípadoch a podať ucelený pohľad na túto problematiku.
Materiál: Referencie dvoch kazuistík heterotopickej gravidity s odlišným klinickým priebehom, diagnostický algoritmus, operačná liečba a následná dispenzarizácia pacientok.
Vplyvom liečby neplodnosti metódami asistovanej reprodukcie sa heterotopická gravidita stáva potenciálne nebezpečnou a život ohrozujúcou komplikáciou gravidity.
Pri podozrení na heterotopické tehotenstvo je vhodné sledovať pacientku za hospitalizácie s pravidelnými ultrazvukovými kontrolami a monitorovaním dynamiky sérových hladín hCG.

tags: #vavrusova #2007 #heterotopicka #gravidita