Objavili ste u detí rôzne fľaky na zuboch? Ako sa ich zbaviť a kedy je potrebné navštíviť zubára, vysvetľuje odborníčka. Prinášame vám aj názorné fotografie jednotlivých fľakov.
Čo spôsobuje čierne škvrny na detských zuboch?
Takzvané „black dots alebo black stains“, teda veľmi tmavohnedé až čierne škvrny, trápia predovšetkým deti, ktoré majú ešte mliečne zúbky. Najčastejšie sa s nimi deti stretnú vo veku 5 až 15 rokov. Škvrny nájdete pozdĺž línie ďasien, môžu sa však rozšíriť aj na plôšky zubov. Veľmi jednoducho povedané, sú to škvrny bakteriálneho pôvodu - teda sú spôsobené formou bakteriálneho plaku v ústach dieťaťa. Chromogénne baktérie, ktoré škvrny spôsobujú, sa môžu preniesť slinami. Nepatrne tak riskujete pri bozku na ústa, zdieľaní zubnej kefky aj oliznutím lyžičky.
Čierne fľaky na zuboch (black dots) sú spôsobené chemickou reakciou medzi sírovodíkom produkovaným baktériami a zvýšenou hladinou železa v tkanivách a slinách. Tú môže mať na svedomí krvácanie ďasien, ale aj potraviny bohaté na železo, medikácie alebo doplnky stravy. Aj keď čierne škvrny nie sú nebezpečné, majú však negatívny vplyv na psychiku detí, ktoré sa za zuby hanbia.
Z vedeckého hľadiska sú čierne skvrny na zuboch u detí najčastejšie spôsobené špecifickým typom pigmentácie známej ako chromogénne bakteriálne zafarbenie. Tento fenomén súvisí s prítomnosťou určitých baktérií v ústnej dutine, predovšetkým z rodov Actinomyces a Prevotella, ktoré produkujú sírne zlúčeniny. Tieto mikroorganizmy vytvárajú exogénne pigmenty, ktoré sa pevne viažu na povrchovú vrstvu skloviny - pelikulu. Mechanizmus vzniku týchto škvŕn pripomína chemickú reakciu v prírode. Podobne ako železo oxiduje a vytvára hrdzu, bakteriálne metabolity reagujú so železom prítomným v slinách a vytvárajú ferrosulfid - zlúčeninu, ktorá má charakteristickú tmavú až čiernu farbu. Táto pigmentácia sa ukladá pozdĺž gingiválnej línie a v medzizubných priestoroch, kde je koncentrácia baktérií najvyššia.
Klinická prax ukazuje, že čierne skvrny na zuboch u detí môžu mať viacero príčin. Je kľúčové rozlišovať medzi chromogénnym zafarbením a zubným kazom. Zatiaľ čo chromogénne škvrny sú povrchové, tvrdé na dotyk a zvyčajne sa vyskytujú v charakteristických líniách alebo bodkách, kazivé lézie sú mäkšie, majú nerovný povrch a často sa lokalizujú v jamkách a fisúrach zubu. Zriedkavejšie príčiny zahŕňajú dentinogenesis imperfecta, amelogenesis imperfecta, alebo následky traumy. Extrémne vzácne sa môžu objaviť pigmentácie spojené s chronickým užívaním určitých liekov, ako sú železné preparáty alebo chlorhexidín v ústnych vodách, ktoré by však u malých detí nemali byť bežne používané.
Výskum v oblasti pediatrickej stomatológie odhaľuje fascinujúce súvislosti. Chromogénne zafarbenie postihuje približne 2-20% detskej populácie, pričom prevalencia sa líši podľa geografickej lokality a vekových skupín. Zaujímavým paradoxom je, že deti s týmto typom pigmentácie majú často nižší výskyt zubného kazu. Tento fenoménu sa venovala štúdia publikovaná v Journal of Dentistry for Children, ktorá naznačuje, že chromogénne baktérie môžu vytvárať prostredie menej priaznivé pre kariogénne mikroorganizmy. Genetická predispozícia hrá významnú úlohu - ak jeden z rodičov mal v detstve podobné problémy, pravdepodobnosť výskytu u potomkov sa zvyšuje približne o 40%. Zloženie slín, pH ústnej dutiny a mikrobiálna flora sú do značnej miery dedične determinované faktory, ktoré vytvárajú jedinečný ekosystém každej ústnej dutiny.
Diskutuje sa, že po prerezaní stálych zubov sa mení „zloženie“ baktérií v ústnej dutine a škvrny už sa znovu neobjavujú. Prevencia proti čiernym škvrnám neexistuje, na druhej strane zdravie zubov nijako neohrozujú. Niektoré vedecké štúdie dokonca tvrdia, že existuje súvislosť medzi ich výskytom a nižším množstvom zubných kazov u detí.

Čo robiť, aby zuby vášho dieťaťa boli zase bez škvŕn?
V žiadnom prípade ich deťom neodstraňujte doma - škvŕn sa nezbavíte a riskujete poničenie zubnej skloviny. Ich odstránením sa, bohužiaľ, nevyrieši príčina vzniku - preto majú škvrnky tendenciu sa vracať. Frekvencia sa u každého dieťaťa líši, avšak naozaj dôkladná ústna hygiena môže návrat trochu oddialiť.
Vyhnite sa odstraňovaniu škvŕn doma a babským radám, ako je drhnutie zubov aktívnym uhlím alebo jedlou sódou v prášku. Tieto látky pracujú na princípe obrusovanie povrchu zuba a môžu tak poškodiť zubnú sklovinu.
Čierne škvrny na zuboch si vezme do parády dentálna hygienička pomocou profesionálnych čistiacich techník, ako je čistenie ultrazvukom, pieskovanie (Air-Flow) a leštenie.
Manažment čiernych škvŕn na zuboch u detí vyžaduje multidisciplinárny prístup. Primárna prevencia spočíva v optimalizácii ústnej hygieny, čo zahŕňa mechanické odstránenie bakteriálneho povlaku minimálne dvakrát denne. Technika čistenia zubov by mala byť prispôsobená veku dieťaťa - u batoliat je vhodná kruhová metóda, zatiaľ čo staršie deti môžu zvládnuť modifikovanú Bassovu techniku. Profesionálna dentálna hygiena zostáva zlatým štandardom v odstránení týchto pigmentácií. Dentálny hygienik využíva ultrazvukové škálery, air-flow systémy s jemnými abrazívnymi časticami, alebo rotačné kefky s profilaktickými pastami. Tieto metódy sú bezpečné, efektívne a neinvazívne. Výživa hrá tiež dôležitú úlohu - obmedzenie konzumácie potravín bohatých na taniny (čaj, niektoré ovocia) a farbivá môže spomaľovať tvorbu nových pigmentácií.

Iné typy škvŕn na detských zuboch
Žlté a hnedé škvrny na zuboch
Hnedé či nažltnuté sfarbenie na detských zuboch má niekoľko príčin: od zubného kazu, kameňa a plaku cez dedičnosť a úrazy až po konzumáciu nevhodných potravín. Rovnako ako aj pri ostatných druhoch zmien farebnosti platí aj tu nutnosť pýtať sa po príčine, a to najlepšie v kresle detského stomatológa, ktorý hravo odhalí vinníka problému a pomôže vám s jeho vyriešením.
Aby zubný kaz, zubný kameň ani povlak nemali šancu: zamerajte sa na dôsledné dodržiavanie zubnej hygieny. Vyhnite sa potravinám, ktoré sa prichycujú na zuboch (napr. cukrovinky, čokoláda, sušienky, křupky alebo sušené ovocie). Obmedzte cukor a sladkosti, perlivé a slazené nápoje alebo ovocné džúsy. Zaraďte naopak spojencov čistých zubov - potraviny bohaté na vápnik a vitamíny, ako sú mlieko a mliečne výrobky, mandle, strukoviny, niektoré orechy alebo listová zelenina.
K zmene farby zubov prispievajú farbivá obsiahnuté v potravinách alebo nápojoch, či už ide o umelé farbivá v limonádach alebo cukríkoch či o prirodzene sa vyskytujúce pigmenty v zelenine, ovocí alebo napríklad v čaji. I tu pomôže zamerať sa na dôslednú zubnú hygienu; a miesto dofarbovaných nápojov siahnuť po vode.
Za vznikom hnedých škvŕn na zuboch u detí môže byť aj úraz v oblasti zubov, keď sa vinou krvácania vnútri zuba zmení sfarbenie dohneda alebo dosiva až dočierna. Také zmeny sa môžu prejaviť aj niekoľko dní, týždňov či dokonca mesiacov po úraze, ale nemusia nutne znamenať stratu postihnutého zuba. Navštívte preto čo najskôr svojho lekára.
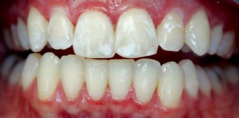
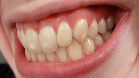
Biele škvrny na zuboch
Biela farba nemusí byť v prípade zubov vždy taká výhra, ako by sa mohlo zdať. A platí to u detí aj u dospelých. Žiarivo biele škvrny na zuboch u detí obvykle znamenajú tzv. demineralizačné lézie, teda jav, ktorý predstavuje poškodenie zubu a proti ktorému je potrebné začať okamžite bojovať.
Demineralizácia
Tento pojem označuje proces uvolňovania minerálnych iónov (najmä vápnika a fosfátov) z tkanív, ako je sklovina alebo kosť. V kontexte zubov sa preto stretávame aj s označením odvápnenie skloviny. Výsledkom tohto procesu je oslabenie skloviny, ktorá tvorí ochrannú vrstvu zubu, a tvorba zubného kazu.
Stačí dodržovať niekoľko pravidiel, ktoré sú podobné ako v prevencii žltých a hnedých škvŕn na detských zuboch, takže zabijete dve muchy jednou ranou: obmedzte pitie ovocných štiav, džúsov a limonád s bublinkami. Ak sa bez nich vaše dieťa nezaobíde, vypláchnite mu po ich konzumácii ústa vodou. Vynechajte cukor, sladkosti a potraviny, ktoré majú tendenciu sa uliepať v zuboch, ako sušienky, křupky alebo sušené ovocie. Zamerajte sa na ústnu hygienu a skúste svoje dieťa nadchnúť pre čistenie zubov.
Liečba demineralizačných lézií zahŕňa rôzne postupy vrátane použitia lasera alebo lokálnej fluoridovej terapie. Vždy je kľúčové lézie monitorovať a sledovať ich progres, aby sa zabránilo nevratnému poškodeniu zubnej skloviny.
Syndróm MIHN
Nie všetky biele škvrny znamenajú demineralizáciu. Zvláštnu kategóriu predstavujú škvrny spôsobené tzv. syndrómom MIH. Najčastejšie sa objavujú na prvých spodných stoličkách a horných stredných rezákoch (jednotkách). Vyzerajú ako zubný kaz, ale sú spôsobené vrodenou chybou, ktorej príčiny zatiaľ presne nepoznáme. MIH syndróm môže spôsobovať odlomenie zubnej skloviny a mali by ste preto čo najskôr navštíviť detského stomatológa.

Demineralizácia, žlté a hnedé škvrny na zuboch so zubným strojčekom
Ak vaša ratolesť nosí fixný zubný strojček, treba ústnej hygiene venovať zvláštnu pozornosť. Prítomnosť zubného strojčeka znamená nárast počtu miest, kam sa s obyčajnou kefkou nedostanete. Nedočistené plochy v ústach sa potom môžu stať obľúbeným domovom baktérií spôsobujúcich nielen farebné zmeny na zuboch, zápal ďasien, ale aj zubný kaz.
To zvládnete! Nech už sú príčiny nerovnomerného sfarbenia zubov vašich detí akékoľvek, nie ste v tom sami a nie je najmenší dôvod, aby sa škvrny na zuboch držali dlhšie, než je nutné. Nestrácajte hlavu a zamerajte sa spoločne na zlepšenie svojich stravovacích návykov a čistiacej rutiny.
👐 Jaké všechny pomůcky používat k čištění rovnátek, aby nevznikly zubní kazy? 🫣

