Mola hydatidosa, známa aj ako hroznovitá mola alebo molárne tehotenstvo, predstavuje zriedkavú komplikáciu tehotenstva, pri ktorej dochádza k abnormálnemu vývoju tkaniva placenty. V maternici, na miestach, kde sa má vyvinúť placenta, vznikne tkanivo pripomínajúce strapec hrozna. V maternici tak rastie hmota opuchnutých choriových klkov. Tieto klky rastú v trsoch, ktoré sa podobajú na strapce hrozna. Takáto gravidita sa označuje ako molárne tehotenstvo. Tehotenstvo nie je životaschopné a končí sa spontánnym potratom. Mola hydatidosa je gestačná trofoblastická choroba, patologické tehotenstvo, pri ktorej sa v maternici nachádza oplodnené vajíčko, ktoré nie je životaschopné. Podporné tkanivo okolo oplodneného vajíčka sa nevyvíja správne. Za normálnych okolností sa z tohto tkaniva vyvinie placenta, ale pri mola hydatidosa sa namiesto toho vytvorí zhluk buniek, ktorý pripomína strapec hrozna. V tomto prípade ide o abnormálny vývoj tehotenstva, ktorý sa prejavuje vznikom tkaniva, ktoré pripomína strapec hrozna. Je to veľmi zriedkavé ochorenie u tehotných žien, kedy sa embryo nevyvíja tak, ako má. Tkanivo rastie a poškodzuje vyvíjajúce sa embryo. Tehotenstvo sa označuje za molárne a končí potratom.
Degeneratívne ochorenie mola hydatidóza štatisticky ohrozuje jedno z dvetisíc až dvetisícpäťsto tehotenstiev. Zasahuje trofoblast, tú časť buniek oplodneného vajíčka, ktoré sú zodpovedné za vytváranie placenty. Namiesto placenty sa však v maternici začne vytvárať niečo úplne iné. „Klky trofoblastu sa menia na cystičky veľkosti hrachu až čerešne, ktoré sú medzi sebou navzájom prepojené a vytvárajú hroznovitý útvar. Tieto útvary čiastočne alebo celkom vypĺňajú dutinu maternice,“ vysvetľuje gynekologička MUDr. Radmila Sládičeková. A čo je najhoršie, rastúce choré tkanivo poškodzuje vyvíjajúce sa embryo. „Bunky moly si zachovávajú vlastnosti trofoblastu, teda majú zvýšenú schopnosť množenia, zanárajú sa do sliznice maternice a vo zvýšenej miere produkujú hormón choriový gonadotropín. Zvýšenie hladiny tohto hormónu na mnohonásobok normy následne vedie ku vzniku cýst na vaječníkoch,“ dodáva lekárka. „Tieto zmeny trofoblastu nastávajú veľmi skoro, na počiatku tehotenstva. Mola vypĺňa celú maternicu a postihuje celý chorion, čiže blanitý obal zárodku. Ak sa už placenta stihla vytvoriť, môže mola postihovať iba jednu jej časť.“ Ochorenie priamo ohrozuje ďalší vývoj bábätka. Najčastejšie dochádza k spontánnemu potratu. Ak nie, je väčšinou potrebné molu odstrániť kyretážou a neskôr skontrolovať, či v maternici nezostali zvyšky a či sa mola odstránila dôkladne.

Typy Mola Hydatidosa
Rozlišujeme dva hlavné typy molárneho tehotenstva:
- Kompletná mola hydatidosa: V tomto prípade sa nevyvíja plod a placenta je abnormálna. V maternici sa nenachádza plod, pretože sa v maternici ani nenachádza. Kompletná mola sa vyskytuje v 1 z 3000 - 4000 tehotných. Vzniká oplodnením prázdneho vajíčka, jednou alebo dvomi spermiami, ktoré sa rozdelia a obsahuje iba otcovské chromozómy 46 XX, ďalej sa nevyvíja. Vyvíja sa len placenta, z ktorej vzniká veľmi charakteristický obraz pripomínajúci strapec hrozna. Veľkosť je podmienená masívnym opuchom v oblasti klkov, čo je možné zachytiť ultrazvukom.
- Parciálna mola hydatidosa: Plod sa začádza vyvíjať, ale placenta je abnormálna. Placenta sa vyvíja abnormálne, ale vyvíja sa aj plod. Ak tehotná žena porodí, dieťa hneď po pôrode umiera. Parciálna mola hydatidosa (MHP) vzniká oplozením vajíčka dvomi spermiami najednou (69,XXX; 69,XXY). Takto vzniknutá triploidná zygota má dve sady otcovských a jednu sadu materských haploidných chromosomov. Malignizuje raritne. Klinicky sa vyskytuje nepravidelné krvácanie v prvom trimestri (kvôli vývojovým vadám sa plod len výnimočne dožije pôrodu, ak sa dožije, vždy po ňom umiera). V tomto prípade sa nezvrháva do malignity. Vzniká oplodnením vajíčka dvomi spermiami. Následkom toho sa vyvíja triploidná zygota, ktorá má dve sady otcovských chromozómov a jednu sadu chromozómov od matky. Embryo sa dokáže vyvíjať ale s mnohými vývojovými anomáliami a väčšinou zaniká v 1. trimestri tehotenstva. Len výnimočne pretrvá do termínu pôrodu, po ktorom však vždy umiera. Príčina takejto patologickej fertilizácie nie je známa. Je dokázané, že jej výskyt sa zvyšuje so stúpajúcim vekom matky. Diagnostika je možná len histologicky. Klinicky sa parciálna mola hydatidosa prejavuje ako skoršie alebo neskoršie neprosperujúce tehotenstvo, ktoré v 90% končí nekompletným alebo kompletným potratom. Pomocou ultrazvuku dokážeme vidieť zväčšenú placentu a prázdy gestačný vačok, eventuálne s plodom, ktorý vykazuje známky abnormality. Hodnoty hCG sú väčšie ako 100 000mIU/ml. Liečba spočíva vo vakuuevakuacii. Následne je nutné sledovať hodnoty hCG jedenkrát za týždeň, až do nulových hodnôt a následne jedenkrát mesačne po dobu 6 mesiacov.
Príčiny vzniku
Presná príčina vzniku molárneho tehotenstva nie je úplne známa. Molárne tehotenstvo vzniká pri chybnom oplodnení. Predpokladá sa, že svoj podiel na vzniku má genetická výbava ženy. Z genetického hľadiska, molárne tehotenstvo vzniká pri chybnom oplodnení vajíčka. V jednom prípade ide o oplodnenie zdravého vajíčka dvomi spermiami alebo jednou, ktorá sa v jeho vnútri rozdelí na dve. Tak vzniká čiastočná (parciálna) mola. Ak sa podobne oplodní vajíčko, ktoré v sebe nemá genetickú informáciu, ide o úplnú (kompletnú) molu. Nevyrovnanosť medzi otcovským a materským genetickým materiálom vedie k poruche vývoja embrya a nekontrolovateľnému rastu zárodočných obalov. Mola hydatidosa môže vzniknúť z maličkých kúskov placenty, ktoré zostali v maternici po predchádzajúcom tehotenstve alebo potrate.
Za najčastejšiu príčinu vzniku kompletnej moly považujú odborníci oplodnenie prázdneho vajíčka bez chromozómov dvoma spermiami. Vznik čiastočnej, teda parciálnej moly spôsobuje oplodnenie normálneho vajíčka s 23 chromozómami taktiež dvoma spermiami. Ochorenie sa môže aj opakovať, napríklad na zvyškoch zle odstráneného tkaniva po predchádzajúcom tehotenstve alebo potrate.
Príznaky
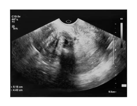
Molárne tehotenstvo (Mola hydatidosa) sa typicky prejavuje v druhom trimestri tehotenstva krvácaním, bolesťami v panvovej oblasti a nadmerným vracaním. Na to, že niečo nie je v poriadku, vás upozornia rôzne symptómy - vaginálne špinenie alebo krvácanie, nevoľnosť, vracanie, prípadne bolesti brucha. Pri návšteve v poradni gynekológ zistí nápadne rýchly rast maternice, ktorá veľkosťou nezodpovedá štádiu tehotenstva. „To je hlavným príznakom moly. Ďalším je nepravidelné krvácanie. V krvi, ktorá vyteká z hrdla maternice, môžeme nájsť drobné cystičky - moly. Ultrazvukový obraz je známy odrazmi mnohopočetných priehradok moly pod názvom „snežná búrka“, ktoré na monitore naozaj vyzerajú ako husté sneženie. Typické pre toto ochorenie je tiež zobrazenie mnohopočetných luteinných cýst na vaječníkoch,“ vymenúva gynekologička celý rad príznakov.
Ďalšie príznaky:
- Vaginálne špinenie alebo krvácanie.
- Nevoľnosť a zvracanie.
- Nadmerný rast maternice.
- Bolesti brucha.
- Nehmatný plod, necítiť pohyby plodu.
- Prerastanie tkaniva cez stenu maternice môže spôsobiť vnútorné krvácanie.
- Niektoré typy mola hydatidosa môžu produkovať hormóny podobné hormónom štítnej žľazy, čo sa prejaví príznakmi hypertyreózy.
- Preeklampsia pred 20 týždňom tehotenstva ( vo fyziologických tehotenstvách môže vznikať po 20 týždni tehotenstva, prejavuje sa vysokým krvným tlakom, opuchmi, prítomnosťou bielkovín v moči).
- Úporné masívne zvracanie: Tehotné ženy s mola hydatidosa majú niekoľkonásobne vyššie hodnoty hormónu choriogonadotropínu, ktorý je zodpovedný za zvracanie.
- Vaginálne krvácanie počas prvých troch mesiacov: Krvácanie vzniká pretože z patologicky vyvinutej placenty sa odlupujú jej časti, ktoré opúšťajú maternicu v podobe krvácania. V krvi, ktorá vyteká z hrdla maternice, môžeme nájsť drobné cystičky - moly.
- Príznaky zvýšenej činnosti štítnej žľazy (hypertyreózy): strata hmotnosti, nechutenstvo, netolerovanie tepla, hnačky, zvýšený srdcový tep, nepokoj, nervozita, tras končatín
- Príznaky preeklampsie: vysoký krvný tlak, opuch nôh
- Chýbanie srdcových oziev: Absencia pohybov plodu alebo tlkotu srdca v neskoršom štádiu.

Diagnostika
Podozrenie na molárne tehotenstvo sa objavuje pri neobvyklom krvácaní počas tehotenstva. Diagnostika molárneho tehotenstva zahŕňa:
- Ultrazvukové vyšetrenie: Pomocou tohto vyšetrenia sa odhalí abnormálny typ maternice, a chýbanie plodu. Ultrazvukový obraz je známy odrazmi mnohopočetných priehradok moly pod názvom „snežná búrka“, ktoré na monitore naozaj vyzerajú ako husté sneženie. Typické pre toto ochorenie je tiež zobrazenie mnohopočetných luteinných cýst na vaječníkoch.
- Krvné testy na prítomnosť tehotenského hormónu: Veľmi vysoké hodnoty tehotenského hormónu hCG.
- Gynekologické vyšetrenie - lekár zistí nadmerný rast maternice.
- Vysoký krvný tlak.
- Zvýšená hladina hormónu HCG v krvi.
- USG
MUDr. Trofoblast je embryonálne tkanivo, ktoré tvorí základ placenty. Bunky trofoblastu prenikajú do vrstiev maternice, kde môžu prenikať aj do ciev a jednotlivé bunky sa môžu šíriť aj do iných orgánov. Rýchlosť, akou trofoblast proliferuje sa dá porovnať s rýchlosťou najmalígnejších nádorov. Po ukončení tehotenstva placenta aj jednotlivé bunky zanikajú. Ochorenia trofoblastu definujeme ako súbor klinicko - patologických presne vymedzených jednotiek, ktoré zahŕňajú: Malígne tumory trofoblastu. Všetky formy gestačného trofoblastu, z ktorých môžu vzniknúť nádorové ochorenia. Trofoblastická invázia (placental site invasion). Vzniká pri každom patologickom aj fyziologickom tehotenstve a pretrváva až do jeho ukončenia. K ochoreniam trofoblastu ju zaraďujeme z toho dôvodu, že väčšina choriokarcinómov vychádza práve malígnym zvratom z trofblastickej invázie. Vzniká 14. dňom tehotenstva uvoľňovaním jednotlivých buniek trofoblastu od výstelky primitívnych klkov. Klinicky nemá žiadne príznaky a nejde ju zobraziť žiadnym zobrazovacím vyšetrením. Jej prítomnosť však spoľahlivo dokazuje pozitivita hCG. Pokial hodnoty hCG pretrvávajú aj 30 dní po ukončení tehotenstva, hovoríme o perzistujúcej trofoblastickej invázii.
Liečba
Liečba tejto choroby je nevyhnutná, aby sa zabránilo ďalším komplikáciám. Jediným možným terapeutickým výkonom je odstránenie placenty so zvyškami plodu. Ide o chirurgické ukončenie molárneho tehotenstva, najčastejšie kyretážou. Ak nedôjde k spontánnemu potratu, mola sa odstraňuje kyretážou alebo vákuumaspiráciou. Po odstránení moly chodí pacientka na pravidelné kontroly.
- Kyretáž: Lekári sa musia uistiť, že odstránia úplne všetko, pretože zabudnuté zvyšky mola hydatidosa sa môžu premeniť po určitej dobe na nádorové tkanivo. Kyretáž je invazívny zákrok, ktorého cieľom je čiastočné odstránenie sliznice maternice. Ak ostanú zvyšky placenty v maternici robí sa kyretáž, kedy sa pomocou vákua odsajú zvyšky z maternice.
- Hysterektómia: Ak je žena staršia a nechce mať deti, tak sa robí hysterektómia, odstránenie celej maternice. V závažných prípadoch alebo ak žena neplánuje ďalšie tehotenstvo, je alternatívou úplné odstránenie maternice (hysterektómia).
- Chemoterapia: Ak sa mola hydatidosa zvrhne na nádor, tak pacientka musí podstúpiť chemoterapiu. V prípade, že sa vyvinie choriokarcinóm - rádioterapia, chemoterapia v závislosti od štádia šírenia nádoru, príp.
Základným postupom je chirurgické ukončenie tehotenstva, najčastejšie kyretážou. Ide o invazívny zákrok, pri ktorom sa čiastočne odstraňuje sliznica maternice.
Komplikácie: Potrat, hydatidový mol, mimomaternicové tehotenstvo - Ošetrovateľstvo v materstve |@LevelUpRN
Sledovanie po liečbe
Následne sa sledujú zmeny hCG, jeho zníženie značí úspešnosť zákroku. Vzhľadom na riziko vzniku rakoviny je pacientka pravidelne sledovaná gynekológom, gynekológ sleduje hladinu hormónu beta HCG v krvi. Ambulantný gynekológ monitoruje hladiny tehotenského hormónu HCG raz týždenne, do negatívnych hodnôt, potom jedenkrát mesačne šesť mesiacov. Ženám po takomto tehotenstve sa odporúča počkať minimálne jeden rok, kým sa pokúsia znovu otehotnieť alebo pokiaľ im hladina betaHCG neklesne na normálne hodnoty.
Ambulantný gynekológ monitoruje hladiny tehotenského hormónu HCG raz týždenne, do negatívnych hodnôt, potom jedenkrát mesačne šesť mesiacov. Ďalšia tehotnosť sa odporúča po šiestich mesiacoch.
Kompletná mola sa vyskytuje v 1 z 3000 - 4000 tehotných. Vzniká oplodnením prázdneho vajíčka, jednou alebo dvomi spermiami, ktoré sa rozdelia a obsahuje iba otcovské chromozómy 46 XX, ďalej sa nevyvíja. Ultrazvukovým vyšetrením nenájdeme plod, ale obraz tzv. sneženia. Je potrebné ukončiť tehotenstvo tzv. vyčistením dutiny maternice s následným sledovaním hladín HCG- 1x týždenne do negativity a následne 1x mesačne do jedného roka. Ďalšie tehotenstvo sa odporúča minimálne rok po negatívnych hodnotách HCG.
Komplikácie
U niektorých žien sa môže mola hydatidosa premeniť na nádor, vtedy hovoríme o choriokarcinóme. Mola proliferans je najagresívnejší variant moly, pri ktorom trofoblast získava malígny potenciál s tendenciou invazívne rásť. Choriokarcinóm, alebo epitelový nádor z buniek trofoblastu, je malígny nádor prejavujúci sa nepravidelným krvácaním z maternice, zvýšenou hladinou hCG a pre diagnostiku je potrebná znalosť tehotenstva v minulosti. Tento nádor sa šíri krvou do pošvy, pľúc, mozgu a pečene.
Invazívna mola - zárodočné tkanivo agresívne prerastá do okolitého tkaniva, čo môže viesť k masívnemu krvácaniu. Choriokarcinóm - vysoko agresívny zhubný nádor zárodočných tkanív, ktorý výborne reaguje na chemoterapiu.
Rizikové faktory
Medzi rizikové faktory vzniku mola hydatidosa patria:
- Predchádzajúci potrat
- Fyziologické tehotenstvo
- Mimomaternicové tehotenstvo
- Vek nad 40 rokov
Je známe, že najviac trofoblastických ochorení sa vyskytuje v ázijských krajinách, čo pravdepodobne súvisí s väčším počtom pôrodov. Frekvencia výskytu stúpa aj s vekom pacientky, zvlášť po štyridsiatom roku života postihuje jedno až dve z tisíc tehotenstiev.
Prognóza
Viac ako 80% prípadov sú benígne, teda nie sú nádorové. Liečba je zvyčajne úspešná.
80% všetkých prípadov nie je agresívnych, postihuje len maternicu. V 15% prerastá mola hydatidosa stenu maternice a spôsobuje krvácanie. Zvyšných 5% prípadov sa maligne zvrhne a šíri sa do iných orgánov tela. Takýto nádor označujeme choriocarcinom.
Emocionálna podpora
Pre mnoho žien a ich partnerov môže byť diagnostikovanie molárneho tehotenstva emocionálne náročné. Je úplne normálne cítiť smútok, frustráciu alebo dokonca zlosť. V tomto období je veľmi dôležité cítiť podporu partnera, rodiny, priateľov, alebo odborníkov. Mnoho žien, ktoré prekonali molárne tehotenstvo, sa neskôr dočká úspešného a zdravého tehotenstva.
tags: #mola #hydatidosa #a #narodene #dieta